Role of Tim50 in the Transfer of Precursor Proteins from the Outer to the Inner Membrane of Mitochondria
01-Mar-2009
Molecular Biology of the Cell, 2009, 20, 1400 - 07 published on 01.03.2009
Molecular Biology of the Cell., online article
Molecular Biology of the Cell., online article
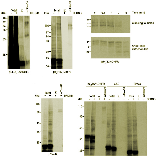
Transport of essentially all matrix and a number of inner membrane proteins is governed, entirely or in part, by N-terminal presequences and requires a coordinated action of the translocases of outer and inner mitochondrial membranes (TOM and TIM23 complexes). Here, we have analyzed Tim50, a subunit of the TIM23 complex that is implicated in transfer of precursors from TOM to TIM23. Tim50 is recruited to the TIM23 complex via Tim23 in an interaction that is essentially independent of the rest of the translocase. We find Tim50 in close proximity to the intermembrane space side of the TOM complex where it recognizes both types of TIM23 substrates, those that are to be transported into the matrix and those destined to the inner membrane, suggesting that Tim50 recognizes presequences. This function of Tim50 depends on its association with TIM23. We conclude that the efficient transfer of precursors between TOM and TIM23 complexes requires the concerted action of Tim50 with Tim23.











